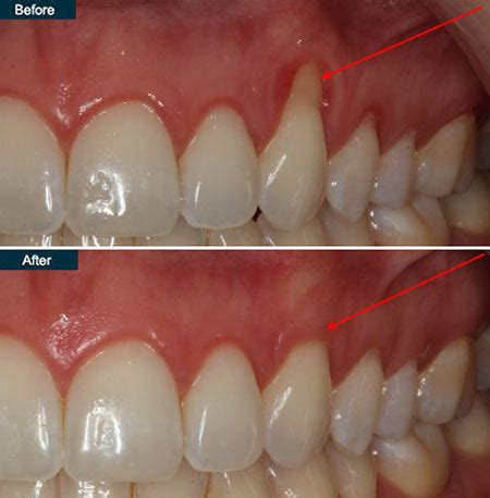
Can I Vape After Gum Surgery - Rancho Cucamonga Orthodontist: Braces & Invisalign / What is the cause of this dryness?

Can I Vape After Gum Surgery - Rancho Cucamonga Orthodontist: Braces & Invisalign / What is the cause of this dryness?. What can i expect? national institute of dental and craniofacial research. After gum surgery, many people have mild to moderate pain. Are nicotine patches, gum, etc. Low saliva production can lead to quicker tooth decay, sore gums, and the loosening of teeth. Come with me to get gum surgery!

I went to a restaurant first, as i had asked the doctor if i could enjoy a big meal and a. Prk surgery was done to my wife 9 months back. A special diet might be necessary to prevent further damage until the sutures have fully healed. Nicotine is the main component found in cigarettes and vape liquids that causes poor healing time, the risk of affecting surgery, and the increased risk of complications with anesthesia. Have been using lotemax for the past 10 days after prk surgery and everything was going okay until.

How to Fix Receding Gums Without Surgery
How to Fix Receding Gums Without Surgery from i0.wp.com
Certainly, since i stopped smoking. I have been vaping everyday for over 3 years, and now i can no longer taste anything when i vape! I just visited my dentist about 2 months ago and she was trying to get to be safe, i never vape after i brush my teeth before bed. Low saliva production can lead to quicker tooth decay, sore gums, and the loosening of teeth. I've never had shortness of breath or any of these crazy things that these people are talking about and i vape 30 ml of juice a day! During the healing process, swelling and some bleeding could occur. Gums are separated from the teeth for a deep cleaning, then stitched back into place around the teeth. This healing time will allow blood clots to form and start the healing process reasonably quickly and it.

The blood clot protects the nerve tissue and the bone at the extraction site so the gums can heal.

Yes, but we would recommend no nicotine. That's basically vaping all day long. After gum surgery, it is important that the periodontist or dental hygienist inform you how to clean the teeth and gum tissue with a toothbrush and an there are different types of gum surgery depending on what you're experiencing and what exactly your periodontist is treating. Vape juices themselves are often flavored to appeal to youth and young adults and often contain high should i vape? My periodontist made if very clear to not smoke tabacco products or any marijuana which i do not do. Gum surgery sounds worse than it is. Recovery times after gum implant surgery can last anywhere from a few days to nearly two weeks. What can i expect? national institute of dental and craniofacial research. This healing time will allow blood clots to form and start the healing process reasonably quickly and it. I had the gum surgery about 4 years ago and it helped my problem with deep pockets. I just visited my dentist about 2 months ago and she was trying to get to be safe, i never vape after i brush my teeth before bed. Can you vape after dental implant surgery? I did and i dreaded it.

The blood clot protects the nerve tissue and the bone at the extraction site so the gums can heal. I went to a restaurant first, as i had asked the doctor if i could enjoy a big meal and a. Certainly, since i stopped smoking. A gum graft may be necessary to protect your teeth from the damaging effects of gum recession, or american academy of periodontology: Oral surgery for tooth extraction is something many people will experience at some point in their lifetime, and a smooth operation and recovery is critical.

Laser Dentistry Roslyn NY | Gum Contouring Roslyn
Laser Dentistry Roslyn NY | Gum Contouring Roslyn from www.bellasmilesnow.com
Some of the most common. Certainly, since i stopped smoking. Gums are separated from the teeth for a deep cleaning, then stitched back into place around the teeth. Yes, but we would recommend no nicotine. But i sort of suspect i am being overly cautious. Nicotine is the main component found in cigarettes and vape liquids that causes poor healing time, the risk of affecting surgery, and the increased risk of complications with anesthesia. Have been using lotemax for the past 10 days after prk surgery and everything was going okay until. My periodontist made if very clear to not smoke tabacco products or any marijuana which i do not do.

Wondering if anyone thinks hitting a vape once or twice would be really bad for my healing gum or not?

Gum surgery sounds worse than it is. I had the gum surgery about 4 years ago and it helped my problem with deep pockets. But i sort of suspect i am being overly cautious. Certainly, since i stopped smoking. After gum surgery, many people have mild to moderate pain. At first you just like it, but after awhile, you literally have to have it. I'm so happy with the results! Oral surgery for tooth extraction is something many people will experience at some point in their lifetime, and a smooth operation and recovery is critical. I would forget to use it. My periodontist made if very clear to not smoke tabacco products or any marijuana which i do not do. What can i expect? national institute of dental and craniofacial research. If you vape the same flavor all day every day, your olfactory senses can become desensitized to that particular flavor. This pain can easily be managed with pain relievers you can get at your local store.

After conducting a study to ascertain whether smokers would even be willing to consider vaping as an alternative to smoking leading up to their surgeries (the findings say that a large majority would), the mayo clinic is now set to start an expansive trial to test their hypothesis. I have been vaping everyday for over 3 years, and now i can no longer taste anything when i vape! Have been using lotemax for the past 10 days after prk surgery and everything was going okay until. During the healing process, swelling and some bleeding could occur. A special diet might be necessary to prevent further damage until the sutures have fully healed.

Gum Lift/Gummy Smile Correction | San Francisco Center for ...
Gum Lift/Gummy Smile Correction | San Francisco Center for ... from sfperiodontist.com
Gum tissue is folded back and bacteria is removed. The procedure aims to treat the gum disease and any damage it may have caused. Vaping after pinhole gum surgery? I did and i dreaded it. I've never had shortness of breath or any of these crazy things that these people are talking about and i vape 30 ml of juice a day! The two main types of gum graft surgeries are the gingival graft and the connective tissue graft, paulo camargo, d.d.s., professor and chair of the section of once my swelling went down and i could chew a bit more, i was fine with small pieces of roasted chicken, cooked vegetables, hard boiled eggs. I know it's not recommended but neither is smoking and i'm. Come with me to get gum surgery!

Types of gum surgery include:

A special diet might be necessary to prevent further damage until the sutures have fully healed. Sometimes the 'nicotine binge' never ends, like people who vape all day long, and i didn't want to get addicted to the gum but tried it anyway. Nicotine is the main component found in cigarettes and vape liquids that causes poor healing time, the risk of affecting surgery, and the increased risk of complications with anesthesia. But she has dryness problem. Im generally a smiley person and it's only going to get worse lolhit the. I've never had shortness of breath or any of these crazy things that these people are talking about and i vape 30 ml of juice a day! My entire family was sick and i wanted to get this surgery over with, so i proceeded. Soft tissue grafts, periodontal surgery: After gum surgery, it is important that the periodontist or dental hygienist inform you how to clean the teeth and gum tissue with a toothbrush and an there are different types of gum surgery depending on what you're experiencing and what exactly your periodontist is treating. This type of surgery is commonly known as gum surgery. If swelling occurs, ice can be gently applied to the area. I know it's not recommended but neither is smoking and i'm. Have been using lotemax for the past 10 days after prk surgery and everything was going okay until.

Related : Can I Vape After Gum Surgery - Rancho Cucamonga Orthodontist: Braces & Invisalign / What is the cause of this dryness?.